É um tratamento odontológico usado para recuperar dentes que foram danificados por cáries, fraturas ou desgaste.
A resina composta é um material estético, da cor do dente, que se adere à estrutura dentária e devolve função, forma e estética ao dente.
Quando é indicada?
• Cáries pequenas ou médias.
• Fraturas em dentes anteriores ou posteriores.
• Correção estética de formato ou fechamento de pequenos espaços (diastemas).
• Substituição de restaurações antigas, quando necessário.
Limitações e cuidados
• Pode sofrer desgaste ou alteração de cor ao longo do tempo, dependendo dos hábitos do paciente (como consumo de café, vinho, cigarro).
• Em dentes com grandes perdas de estrutura, pode não ser a melhor opção — nesses casos, pode ser indicada uma coroa.
• Exige higiene bucal rigorosa e visitas regulares ao dentista para manutenção.
A restauração em resina composta é uma solução moderna e estética para devolver saúde e beleza ao sorriso, mas deve sempre ser planejada de acordo com a necessidade de cada paciente.
Estética
Conservadora
Versátil
Rápida
Porque realizar o tratamento com a Monbene?
Na Monbene, acreditamos que cada sorriso carrega uma história única. Nosso propósito é reabilitar e transformar sorrisos e, junto com eles, vidas, com amor, cuidado e dedicação.
Planejamos cada etapa do tratamento de forma integrada, com a participação de uma equipe multiprofissional, garantindo que todas as decisões sejam tomadas com ética, respeito e atenção às necessidades individuais de cada paciente.
Nosso compromisso vai além da estética: buscamos resultados que tragam bem-estar, confiança e qualidade de vida.
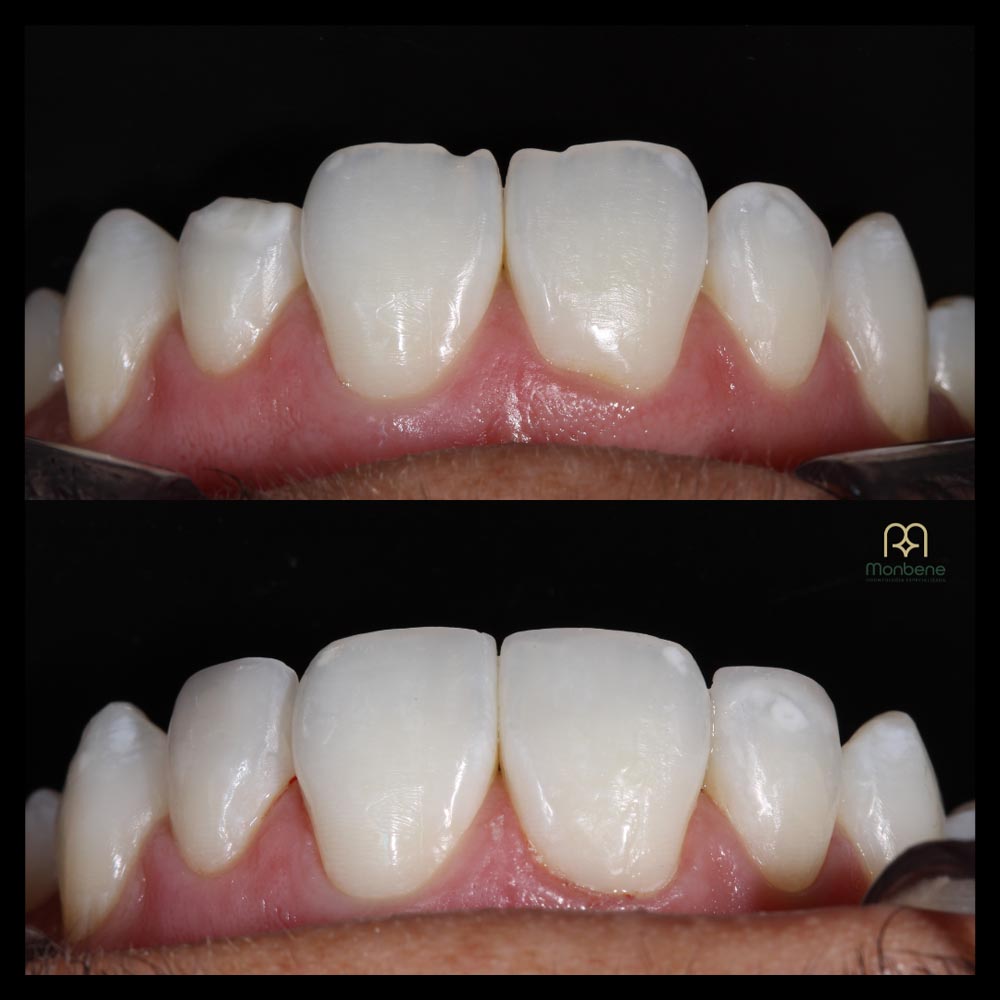
✨ Confira alguns dos sorrisos já transformados por nós.



Beneficios Restauração Resina Composta
- Melhoria estética
- Recuperação da função mastigatória
- Redução da dor
- Prevenção de doenças periodontais
- Aumento da autoestima

