É um conjunto de tratamentos odontológicos que têm como objetivo restaurar a saúde, a estética e a função da boca. Envolve desde procedimentos mais simples, como restaurações e clareamentos, até os mais complexos, como implantes, próteses, cirurgias e ajustes da mordida.
Ou seja: não é apenas “colocar dentes bonitos”, mas devolver equilíbrio funcional e harmonia ao sorriso.
Quando é indicada?
A reabilitação oral pode ser indicada em situações como:
• Perda de um ou mais dentes.
• Dentes muito desgastados, fraturados ou com grandes restaurações.
• Alterações na mordida (má oclusão).
• Problemas na articulação temporomandibular (ATM).
• Comprometimento estético que afeta a autoestima.
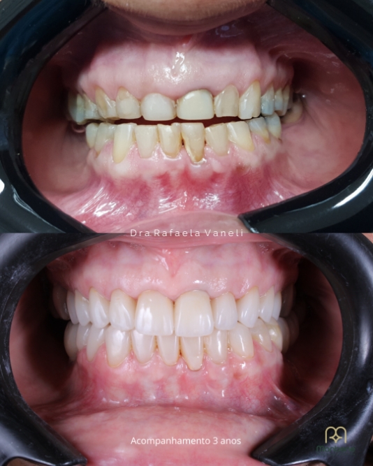
A reabilitação oral é como “reconstruir” o sorriso de dentro para fora: devolve saúde, equilíbrio e autoestima. Ela sempre deve ser planejada de forma personalizada, considerando não apenas os dentes, mas todo o sistema bucal.
Etapas principais
A reabilitação não segue uma fórmula única — cada caso é planejado de forma individualizada. Mas geralmente envolve:
1
2
3
4
5
Porque realizar o tratamento com a Monbene?
Na Monbene, acreditamos que cada sorriso carrega uma história única. Nosso propósito é reabilitar e transformar sorrisos e, junto com eles, vidas, com amor, cuidado e dedicação.
Planejamos cada etapa do tratamento de forma integrada, com a participação de uma equipe multiprofissional, garantindo que todas as decisões sejam tomadas com ética, respeito e atenção às necessidades individuais de cada paciente.
Nosso compromisso vai além da estética: buscamos resultados que tragam bem-estar, confiança e qualidade de vida.
✨ Confira alguns dos sorrisos já transformados por nós.




Beneficios Reabilitação Oral
- Funcionais: melhora da mastigação e da fala.
- Estéticos: sorriso mais harmônico e natural.
- Saúde: prevenção de problemas no osso, gengiva e articulação.
- Psicológicos: mais confiança para sorrir e se relacionar.

