A gengivoplastia é um procedimento odontológico que tem como objetivo remodelar o contorno da gengiva, deixando o sorriso mais harmônico. Muitas vezes, os dentes estão em boas condições, mas o excesso de gengiva (conhecido como “sorriso gengival”) ou um contorno irregular podem comprometer a estética do sorriso.
Com a gengivoplastia, esse excesso é removido de maneira delicada, proporcionando mais equilíbrio entre dentes e gengiva.
Como é feita?
O procedimento é realizado com anestesia local e pode ser feito com lâminas, bisturi elétrico ou laser, de forma rápida e segura. A recuperação costuma ser tranquila e o resultado imediato.
Quando é indicada?
Para corrigir
Para harmonizar
Como complemento
Porque realizar o tratamento com a Monbene?
Na Monbene, acreditamos que cada sorriso carrega uma história única. Nosso propósito é reabilitar e transformar sorrisos e, junto com eles, vidas, com amor, cuidado e dedicação.
Planejamos cada etapa do tratamento de forma integrada, com a participação de uma equipe multiprofissional, garantindo que todas as decisões sejam tomadas com ética, respeito e atenção às necessidades individuais de cada paciente.
Nosso compromisso vai além da estética: buscamos resultados que tragam bem-estar, confiança e qualidade de vida.
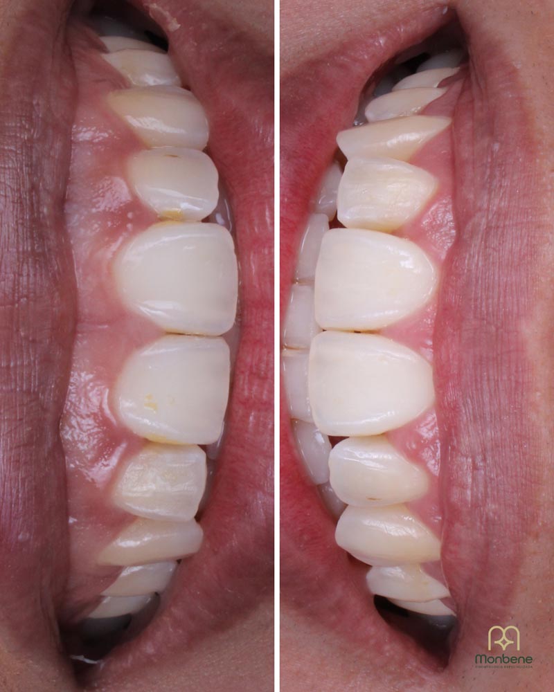
✨ Confira alguns dos sorrisos já transformados por nós.




Beneficios Gengivoplastia
- Sorriso mais harmônico e estético
- Proporção adequada entre dentes e gengiva
- Melhora da autoconfiança ao sorrir

